Radiology results
Evidence of stroke in Ahmad's right
superior cerebellum and the right side
of his pons and mid‑brain, due to
blockage of the right superior cerebellar
artery. He also had a blood clot in the
right cavernous sinuses. The scan
showed signs of infection in his right
frontal, ethmoidal, sphenoidal and
maxillary sinuses were also visible
alongside extensive inflammatory
changes in Ahmad's right masticator,
carotid, pre-vertebral visceral spaces
and pre‑maxillary region.
Images supplied with permission of treating clinician.
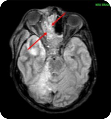
Radiology results
Evidence of stroke in Ahmad's right superior cerebellum and the
right side of his pons and mid‑brain, due to blockage of the right
superior cerebellar artery. He also had a blood clot in the right
cavernous sinuses. The scan showed signs of infection in his
right frontal, ethmoidal, sphenoidal and maxillary sinuses were also
visible alongside extensive inflammatory changes in Ahmad's right
masticator, carotid, pre-vertebral visceral spaces and
pre‑maxillary region.
Images supplied with permission of treating clinician.